Klinische Studie 4: Expertentipps und -tricks für die Befestigung von Veneers. Prof. Paulo Monteiro.
Die Befestigung von Veneers kann eine Herausforderung darstellen und erfordert Detailgenauigkeit. Nutzen Sie diese zusätzlichen Tipps, um den Prozess von der Einprobe bis zur Aushärtung zu meistern – und erzielen Sie mit Sicherheit unglaubliche Ergebnisse.
Das Ziel von Veneer-Behandlungen ist es, Ihren Patienten das bezaubernde Lächeln zu schenken, das sie sich wünschen und verdienen. Doch speziell der letzte Behandlungsschritt kann herausfordernd sein. Die adhäsive Befestigung ist techniksensitiv und gleichzeitig entscheidend für die langfristige Ästhetik und die Haltbarkeit. Das liegt daran, dass die keramischen Verblendschalen nicht nur empfindlich und dünn sind, sondern auch ästhetisch so anspruchsvoll, dass jeder Fehler für den Patienten sichtbar sein wird.
Idealerweise sollte der Termin zur Eingliederung der Veneers für den Patienten den Neuanfang nach ästhetischem Makeover signalisieren. Um diesen angenehm zu gestalten, braucht es ein einfaches, aber effizientes Befestigungsprotokoll. Dieses Protokoll kann in sieben Schritte unterteilt werden:
1. Reinigung der Präparation
2. Einprobe zur Überprüfung der Passform und Ästhetik
3. Trockenlegung und endgültige Einprobe
4. Vorbehandlung der Veneers
5. Vorbehandlung der Präparation
6. Applikation des Befestigungskomposits, Einsetzen und grobe Überschussentfernung
7. Lichthärtung, endgültige Überschussentfernung und Randpolitur
In diesem Artikel werden wir jeden Schritt genauer betrachten und Tipps und Tricks für effiziente Vorgehensweisen sowie langfristig ästhetische Ergebnisse geben.
Ein neuer Anfang: Mechanische Reinigung der Präparationen.
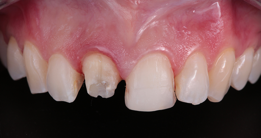
Entfernen Sie zunächst die Provisorien sowie überschüssigen Zement und reinigen Sie den Bereich gründlich, da jegliche Rückstände die Passform oder Farbe der definitiven Restaurationen beeinträchtigen könnten (Abb. 1). Bimssteinpaste eignet sich gut für die mechanische Reinigung der Präparation. Die Wände und okklusalen Bereiche können mit einer kleinen Bürste gereinigt werden, während für die empfindlichen, zahnfleischnahen Bereiche an den Präparationsrändern stattdessen ein Schaumstoffpellet zu verwenden ist.
Verzichten Sie auf Reinigungsmittel oder -pulver auf Basis von Natriumbicarbonat – sie können die Haftung beeinträchtigen. Alternativ kann
3M™ Clinpro™ Glycine Prophy Powder verwendet werden. Im Gegensatz zu anderen Prophylaxepulvern enthält es Glycin und nicht Natriumbicarbonat und ist dadurch sicher in der Anwendung.
Abbildung 1: Gereinigte Veneer- und Kronenpräparationen an den Zähnen 11 und 12 bereit für die Einprobe. Bilder mit freundlicher Genehmigung von Dr. Paulo Monteiro.
Erstes Try-In: Sicherstellen der perfekten Passform.
Bevor das Veneer definitiv befestigt werden kann, ist sicherzustellen, dass alles gut passt und die ästhetischen und funktionellen Anforderungen des Patienten erfüllt. Genau wie bei Kleidung bedeutet dies, die Veneers anzuprobieren. Auch wenn es einfach erscheint, sind während der Einprobe mehrere Faktoren zu berücksichtigen.
Jedes Veneer sollte einzeln sowie zusammen eingesetzt werden, um Passform und Approximalkontakte zu überprüfen (Abb. 2).

Abbildung 2: Einprobe eines Veneers und einer Krone an den Zähnen 11 und 12. Bilder mit freundlicher Genehmigung von Dr. Paulo Monteiro.
Veneers können trocken auf die präparierte Zahnhartsubstanz aufgesetzt werden. Dies bestätigt jedoch nur die Passform und repliziert nicht unbedingt den endgültigen Farbton der Restauration. Er entsteht aus dem Zusammenspiel mehrerer Farben – der Präparation, des Veneers selbst und des Befestigungskomposits dazwischen – alles in einer nassen, vollständig hydrierten Umgebung. Zur Sicherstellung einer realistischeren lichtoptischen Wirkung wird empfohlen, entweder einen Tropfen Wasser zwischen Präparation und Veneer zu applizieren oder – noch besser – Try-In-Paste zu verwenden.
Try-In-Pasten bieten einige Vorteile gegenüber Wasser: Sie helfen, die Veneers an Ort und Stelle zu halten, um die Überprüfung des Randschlusses und der Kontaktpunkte zu erleichtern. Zudem ermöglichen sie eine Simulation der Farbwirkung und erleichtern so die Auswahl des richtigen Farbton des Befestigungskomposits. Bei dickeren Veneers hat die Farbe des Befestigungskomposits keinen großen Einfluss. Bei dünneren Veneers (0,3 mm bis 0,5 mm) kann sie jedoch die endgültige Ästhetik maßgeblich beeinflussen. Deshalb ist es wichtig, mehrere Farbtöne zur Verfügung zu haben. Glücklicherweise werden viele Befestigungskomposite, wie
3M™ RelyX™ Veneer Befestigungskomposit und
3M™ RelyX™ Universal Befestigungskomposit, mit passenden Try-In-Pasten geliefert (Abb. 3). So können Sie ganz einfach verschiedene Farbtöne vor der Befestigung testen. Wenn Sie beispielsweise ein helleres Ergebnis mit höherem Lichtwert wünschen, können Sie die Einprobe mit einer weißen, opaken Try-In-Paste durchführen und sicher sein, dass das entsprechende Befestigungskomposit diese Ergebnisse liefert. Wenn der Farbton nicht passt, kann das Veneer entfernt, gespült und mit einem neuen Farbton einprobiert werden.

Abbildung 3:
3M™ RelyX™ Veneer Try-In-Pasten in verschiedenen Farbtönen, die zu
3M™ RelyX™ Veneer und
3M™ RelyX™ Universal Befestigungskomposit passen. Bilder mit freundlicher Genehmigung von Dr. Paulo Monteiro.
Die Bühne für das große Finale: Trockenlegung und finale Einprobe.
Spülen und trocknen Sie, bevor Sie die Zähne mit Kofferdam trockenlegen (Abb. 4). Wenden Sie zudem bei Bedarf Retraktionsfäden oder -paste an. Die Isolierung ist während der Befestigung entscheidend, da sie den Zugang und die Sicht verbessert und hilft, ein sauberes, trockenes Arbeitsfeld zu erhalten.

Abbildung 4: Präparationen isoliert mit Kofferdam. Bilder mit freundlicher Genehmigung von Dr. Paulo Monteiro.
Führen Sie eine letzte Einprobe der Veneers unter Kofferdam durch (Abb. 5), um zu überprüfen, ob die Einschubrichtung realisierbar ist und keinerlei Kontakt zwischen Restaurationsrändern und Retraktionsfäden, Kofferdam oder Klammern besteht. Passen Sie die Isolierung bei Bedarf an, um sicherzustellen, dass alles für die definitive Eingliederung funktioniert.

Abbildung 5: Finale Einprobe nach Trockenlegung. Bilder mit freundlicher Genehmigung von Dr. Paulo Monteiro.
Vorbehandlung der Veneers: Vorbereitungen für den Erfolg.
Für die Wahl der richtigen Vorbehandlung und des richtigen Befestigungskomposits ist es wichtig zu wissen, welches Restaurationsmaterial Ihr Zahntechniker verwendet und ob eine Vorbehandlung bereits im Labor durchgeführt wurde. Dies wird Ihnen helfen, die bestmögliche Haftung zu erzielen und eine Unter- oder Überbehandlung zu vermeiden. Ein Formular wie der 3M Success Simplified Cementation Guide kann helfen, die Kommunikation mit dem Labor zu optimieren und sicherzustellen, dass Ihnen alle Informationen für die Befestigung vorliegen.
Verschiedene Restaurationsmaterialien sind unterschiedlich vorzubehandeln und es ist wichtig zu wissen, wie im jeweiligen Fall vorzugehen ist. Glaskeramiken wie Lithiumdisilikat oder Feldspatkeramiken sollten mit Flusssäure geätzt werden, um Mikroretentionen im Material zu schaffen (Abb. 6). Oxidkeramiken, die keine ätzbaren Glaspartikel enthalten, z. B. Zirkoniumoxid, oder kunststoffbasierte Materialien sollten mit Aluminiumoxid sandgestrahlt und anschließend mit Alkohol gereinigt werden.

Abbildung 6: Vorbehandlung eines Glaskeramik-Veneers mit Flusssäure. Bilder mit freundlicher Genehmigung von Dr. Paulo Monteiro.
Glaskeramik-Veneers müssen nach dem Ätzen sorgfältig gereinigt werden, um Silizium-Fluorid-Salze zu entfernen, die auf der geätzten Oberfläche ausgefallen sind. Dies kann durch gründliches Spülen mit Wasser erfolgen, bis alle weißen Rückstände entfernt sind (Abb. 7).

Abbildung 7: Reinigung eines Glaskeramik-Veneers nach dem Ätzen mit einem starken Wasserstrahl. Bilder mit freundlicher Genehmigung von Dr. Paulo Monteiro.
Was ist jedoch zu tun, wenn das Ätzen oder Sandstrahlen bereits vor der Lieferung der Restaurationen im Labor durchgeführt wurde? In diesem Fall ist ein intensiveres Reinigungsprotokoll erforderlich, um jegliche Verunreinigungen zu entfernen, die während der Einprobe aufgetreten sein könnten. Bei Glaskeramikrestaurationen kann dies durch Behandlung mit Phosphorsäure für eine Minute vor dem Spülen mit Wasser erreicht werden. Phosphorsäure sollte jedoch nicht auf Zirkoniumoxid angewendet werden, da diese die Haftung beeinträchtigt. Hier können Natriumhypochlorit (NaOCl) oder spezielle Reinigungsmittel verwendet werden, um während der Einprobe entstandene Verunreinigungen von sandgestrahlten Klebeflächen zu entfernen.
Nach dem Reinigen sollte das Glaskeramik-Veneer getrocknet werden, bevor Silan aufgetragen wird. Es gibt viele Silan-Optionen, von eigenständigen Silanprimern bis hin zu universellen Primern mit einem Silanbestandteil und Universal-Adhäsiven, die Silan enthalten, wie
3M™ Scotchbond™ Universal Plus Adhäsiv. Letzteres verfügt über eine bewährte Silanformulierung, die eine Haftung auf Glaskeramiken ermöglicht, die vergleichbar ist mit der klassischer separater Silane. Zusätzlich zum Silan enthält
Scotchbond Universal Plus Adhäsiv auch MDP zur Konditionierung von Veneers aus Zirkoniumoxid.

Abbildung 8: Applikation von
3M™ Scotchbond™ Universal Plus Adhäsiv als Silan auf die geätzte Klebefläche des Glaskeramik-Veneers. Bilder mit freundlicher Genehmigung von Dr. Paulo Monteiro.
Nach dem Einreiben von
Scotchbond Universal Plus Adhäsiv für 20 Sekunden (Abb. 8) ist die Schicht 5 Sekunden mit einem sanften Luftstrom zu behandeln, bis das gesamte Lösungsmittel entfernt ist. Anschließend ist die beschichtete Oberfläche vor Licht zu schützen, bis das Befestigungskomposit zur Eingliederung aufgetragen wird.
Vorbehandlung der Präparation: Das Fundament für eine starke Haftung.
Zuerst sollten alle Bereiche ohne Schmelz, wie Kompositaufbauten oder Dentin, mit Aluminiumoxid sandgestrahlt und abgespült werden (Abb. 9).

Abbildung 9: Vorbehandlung des Kompositaufbaus durch Sandstrahlen mit 30 µm Aluminiumoxid. Bilder mit freundlicher Genehmigung von Dr. Paulo Monteiro.
Anschließend sollte sämtlicher vorhandener Schmelz mit Phosphorsäure, z. B.
3M™ Scotchbond™ Universal Ätzgel, für 15 Sekunden geätzt, mindestens 15 Sekunden gründlich gespült und getrocknet werden (Abb. 10).

Abbildung 10: Ätzen der Präparationen mit Phosphorsäure. Bilder mit freundlicher Genehmigung von Dr. Paulo Monteiro.
Nun ist es an der Zeit, den für das verwendete Befestigungskomposit empfohlenen Haftvermittler aufzutragen, z. B.
Scotchbond Universal Plus Adhäsiv für
RelyX Veneer Befestigungskomposit oder
RelyX Universal Befestigungskomposit.

Abbildung 11: Auftragen von
3M™ Scotchbond™ Universal Plus Adhäsiv. Bilder mit freundlicher Genehmigung von Dr. Paulo Monteiro.
Nach dem Schutz der benachbarten Zähne mit PTFE-Band wird
Scotchbond Universal Plus Adhäsiv für 20 Sekunden eingerieben und dann mit einem sanften Luftstrom getrocknet, bis das gesamte Lösungsmittel vollständig evaporiert ist und das Adhäsiv sich nicht mehr bewegt (Abb. 11, 12). Korrekt aufgetragenes Adhäsiv bildet einen glänzenden Film auf der gesamten Klebefläche. Härten Sie das Adhäsiv nicht aus, um nicht versehentlich eine dickere Schicht als beabsichtigt zu erhalten.

Abbildung 12: Lufttrocknen von
3M™ Scotchbond™ Universal Plus Adhäsiv. Bilder mit freundlicher Genehmigung von Dr. Paulo Monteiro.
Applikation des Befestigungskomposits: Innovation im Einsatz.
Ein ästhetisches adhäsives Befestigungskomposit mit einem separaten Haftvermittler ist das Befestigungssystem der Wahl für langlebige ästhetische Restaurationen wie Veneers. Dies ist sowohl wegen ihres nicht-retentiven Präparationsdesigns als auch wegen der Tatsache der Fall, dass sie hauptsächlich auf Schmelz befestigt werden. Diese Art von adhäsivem Befestigungskomposit bietet eine hervorragende Haftfestigkeit und ist auch farbstabil. Es stehen zwei Arten des Materials zur Auswahl: ein lichthärtendes und ein dualhärtendes Befestigungskomposit.
Lichthärtende Befestigungskomposite, wie
RelyX Veneer Befestigungskomposit, sind der Goldstandard für Veneers, da sie unbegrenzte Verarbeitungszeit bieten. Die korrekte Positionierung von Veneers kann herausfordernd sein. Darum ist es ist besonders vorteilhaft, sich Zeit nehmen zu können. Es ist wichtig zu beachten, dass lichthärtende Befestigungskomposite zwar diesen Vorteil bieten, aber zwingend vollständig mit Licht ausgehärtet werden müssen, was bei dickeren Veneers schwierig sein kann. Alternativ kann ein dualhärtendes Befestigungskomposit verwendet werden, z. B.
RelyX Universal Befestigungskomposit. Dieses liefert hohe Haftfestigkeiten und erfüllt hohe ästhetische Ansprüche, jedoch ist die Verarbeitungszeit begrenzt. Wenn Sie nicht viele Veneers eingliedern und kein spezielles Befestigungskomposit für Veneers vorhalten möchten, sind dualhärtende Befestigungskomposite eine großartige Option, da sie vielsseitig einsetzbar sind.
Mit diesem Wissen und den vorbereiteten Zähnen und Veneers können Sie Ihr gewähltes Befestigungskomposit auf die Innenseite der Veneers auftragen. Aber wie viel sollten Sie auftragen? In Wahrheit geht es nicht um die Menge, sondern um die Gleichmäßigkeit. Stellen Sie einfach sicher, dass die gesamte Oberfläche der Keramik gleichmäßig bedeckt ist (Abb. 13). Es wird immer Überschüsse geben, aber diese können entfernt werden – Luftblasen oder Hohlräume zwischen dem Veneer und der Präparation nicht.

Abbildung 13: Auftrag von
3M™ RelyX™ Universal Befestigungskomposit. Bilder mit freundlicher Genehmigung von Dr. Paulo Monteiro.
Eingliederung: Bringt das Lächeln in Position.
Dies ist der Moment der Wahrheit: das Veneer wird eingesetzt. Jeder Zahnmediziner hat seinen eigenen Ansatz, ein Veneer nach dem anderen oder alle auf einmal zu platzieren. Wenn ich mehrere Veneers einsetze, beginne ich stets mit den beiden mittleren Schneidezähnen, gefolgt von den beiden lateralen Schneidezähnen, den Eckzähnen und so weiter. Wenn es irgendwo keinen Fehler geben darf, dann bei den mittleren Schneidezähnen; sie sind am sichtbarsten, daher sind sie der beste Ausgangspunkt. Persönlich setze ich das Veneer auf den Zahn und beginne mit der Entfernung des Überschusses mit einem Schwamm. Dann verwende ich ein Instrument, um das Veneer mit sanftem Druck zu fixieren und den Überschuss, der um die Ränder fließt, mit Zahnseide zu entfernen. Sobald alle Veneers platziert sind und die groben Überschüsse entfernt sind, müssen die Restaurationen fixiert werden – und das bedeutet, es ist Zeit für die Lichthärtung.
Lichthärtung, Reinigung und Randpolitur.
Wie bei vielen restaurativen Verfahren ist die Lichthärtung entscheidend für die Langlebigkeit, Funktionalität und Ästhetik von Veneers. Sie kann den Unterschied zwischen zufriedenen und unzufriedenen Patienten ausmachen. Eine unzureichende Aushärtung kann zu Verfärbungen an den Rändern oder sogar zum Debonding führen. Um eine gründliche Aushärtung zu erreichen, ist es wichtig, die Anforderungen Ihrer Materialien zu kennen, die richtige Technik anzuwenden und sicherzustellen, dass Ihr Polymerisationsgerät auf dem neuesten Stand ist. Jeder Zahnmediziner sollte über ein zuverlässiges, hochwertiges Polymerisationsgerät verfügen, wie
3M™ Elipar™ DeepCure-S LED Polymerisationsgerät, und es regelmäßig testen, um sicherzustellen, dass es die richtige Leistung liefert.
Ich trage ein Glycerin-Gel auf die Ränder auf, um die Bildung einer Sauerstoffinhibitionsschicht zu vermeiden und eine vollständige Aushärtung sicherzustellen, bevor ich durch das Gel für 20 Sekunden auf der palatinalen und bukkalen Seite lichthärte (Abb. 14). Bei Veneers hängt die Dauer der Lichthärtung von der Dicke des Materials ab. Ein dickeres, opakeres Veneer kann eine längere Aushärtungszeit erfordern.

Abbildung 14: Lichthärtung. Bilder mit freundlicher Genehmigung von Dr. Paulo Monteiro.
Nach der Lichthärtung, die die Veneers an Ort und Stelle fixiert, ist es Zeit, den verbleibenden überschüssigen Zement mit einer Klinge zu entfernen (Abb. 15), bevor die Ränder mit Gummipolierern und Polierscheiben bearbeitet werden.

Abbildung 15: Endgültige Reinigung des überschüssigen Befestigungskomposits mit einer Klinge. Bilder mit freundlicher Genehmigung von Prof. Paulo Monteiro.
Fazit
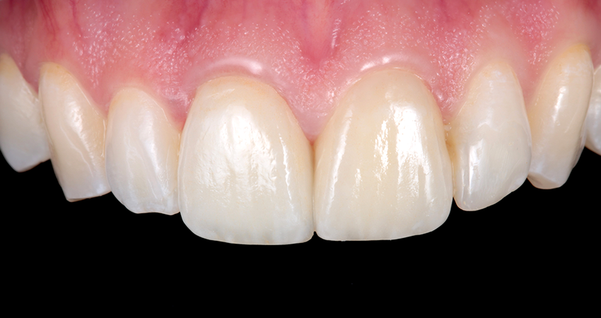
Jeder Schritt bei der Versorgung von Patienten mit Veneers ist entscheidend für das Ergebnis, aber die Befestigung ist der Höhepunkt all dieser Schritte, der herausfordernd sein kann. Meiner Erfahrung nach ist das Erfolgsrezept, den obigen Empfehlungen zu folgen, Ihre Materialien kennenzulernen, ein durchdachtes Protokoll zu entwickeln und bewährte Produkte zu verwenden. Zusammen können diese Schritte zu hervorragenden Ergebnissen und zufriedenen Patienten führen (Abb. 16).

Abbildung 16: Ergebnis zwei Monate nach Behandlungsabschluss. Bilder mit freundlicher Genehmigung von Prof. Paulo Monteiro.
Prof. Paulo Monteiro erhielt seinen Abschluss als Doktor der Zahnmedizin am Instituto Superior de Ciências da Saúde in Caparica (ISCSEM), Portugal. Hier entwickelte er eine Leidenschaft für ästhetische Zahnheilkunde. Im Jahr 2005 absolvierte der Autor ein Postgraduiertenprogramm für ästhetische und restaurative Zahnheilkunde am ISCSEM. Am selben Institut erwarb er auch einen Masterabschluss in Zahnmedizin. Dr. Monteiro ist Koordinator und Professor des Postgraduiertenprogramms für ästhetische und restaurative Zahnheilkunde am Instituto Universitário Egas Moniz. Er führt zudem eine exklusive Zahnarztpraxis in Lissabon, die sich auf ästhetische und kosmetische Zahnbehandlungen spezialisiert hat.